

Dr. Daniel Vainer
El Dr. Daniel Vainer es odontólogo graduado en 2007, reconocido con el premio «Honor al Mérito» por su sobresaliente desempeño académico. En 2009 completó su especialización en Ortodoncia y Ortopedia Dentomaxilar, destacándose con el premio «Cum Laude Probatus».
Desde entonces, se dedica exclusivamente a la ortodoncia en su práctica privada. Además, es docente en la Universidad Latinoamericana de Ciencias y Tecnología, impartiendo clases de postgrado.
El Dr. Vainer se mantiene actualizado mediante educación continua en el extranjero, asegurando estar a la vanguardia en técnicas innovadoras.
Nuestros Servicios

Alineadores Invisibles
Consiste en una serie de alineadores prácticamente invisibles y removibles que se cambian periódicamente. Cada uno de los alineadores se fabricarán específicamente para tu problema.

Ortodoncia Estética
Este tipo de ortodoncia dental utiliza brackets (frenillos) transparentes de cerámica, resina o Zirconio. Estos materiales se mimetizan con los dientes lo que facilita una ortodoncia discreta y efectiva

Apnea de sueño y ronquidos
Diagnóstico y tratamiento personalizado para mejorar la calidad del sueño, reduciendo los ronquidos y los síntomas de la apnea con soluciones adaptadas a cada paciente.

Ortodoncia para niños y adolescentes
Tratamientos especializados para guiar el crecimiento dental y corregir problemas de mordida desde una edad temprana, asegurando una sonrisa saludable y alineada.

Cirugía Ortognática
La cirugía ortognática es una intervención quirúrgica que se realiza en casos complejos para corregir la posición de los huesos de los maxilares, lo que nos permite mejorar la función y estética. Este procedimiento lo realizamos en conjunto con nuestro cirujano maxilofacial.

Ortodoncias en Adultos
La Ortodoncia no tiene limites. Cada vez vemos más pacientes adultos mejorando su estética y su función con ayuda de las ultimas técnicas de ortodoncia que nos permite lograr excelentes resultados sin afectar el estilo de vida del paciente.

Alineadores dentales para casos complejos
Soluciones personalizadas con alineadores transparentes y removibles, diseñados para corregir incluso los casos más desafiantes. Cada alineador se fabrica específicamente para tus necesidades.

Bruxismo y problemas articulares
Terapias avanzadas para aliviar el desgaste dental y los dolores articulares causados por el bruxismo, devolviendo la armonía a tu mordida y salud bucal.

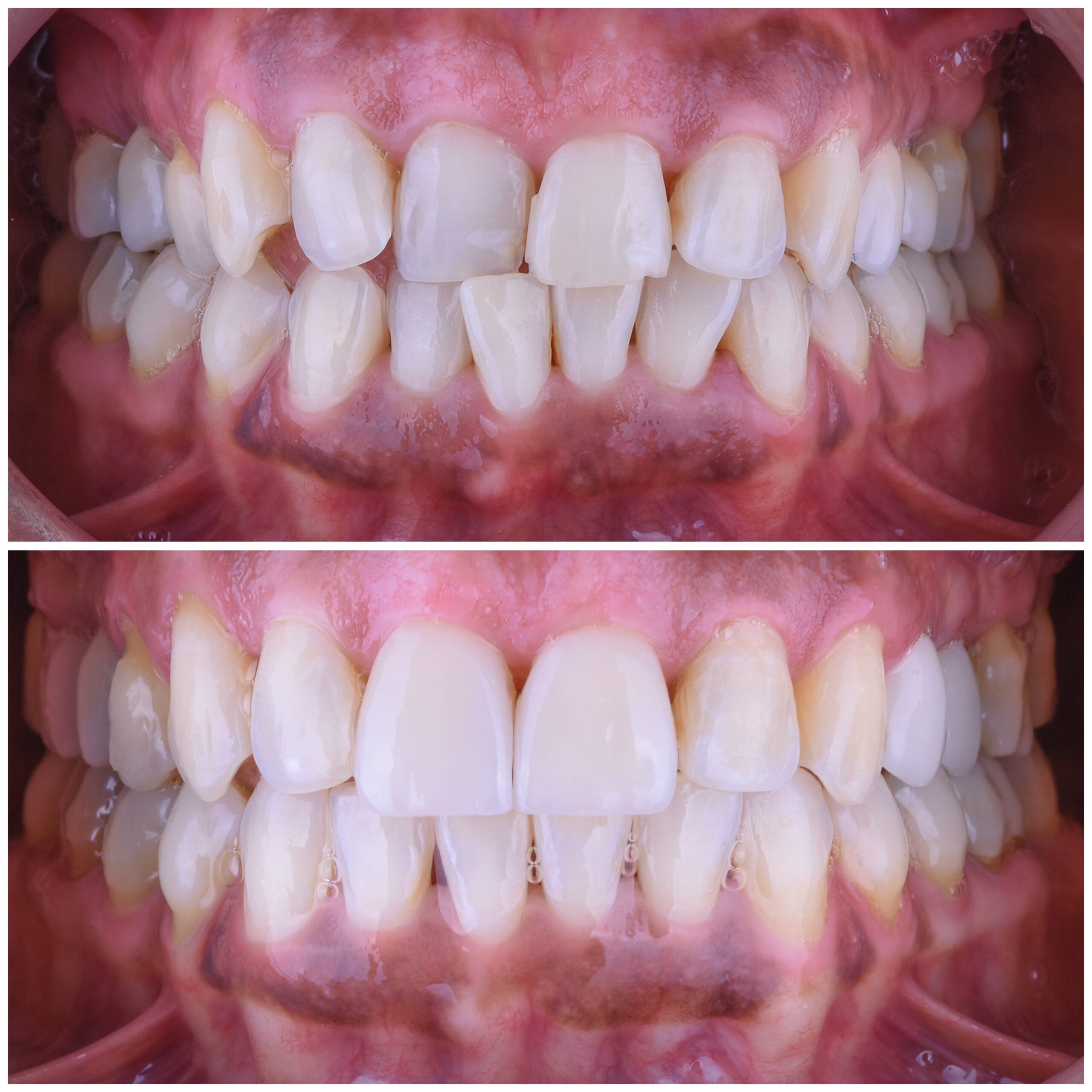
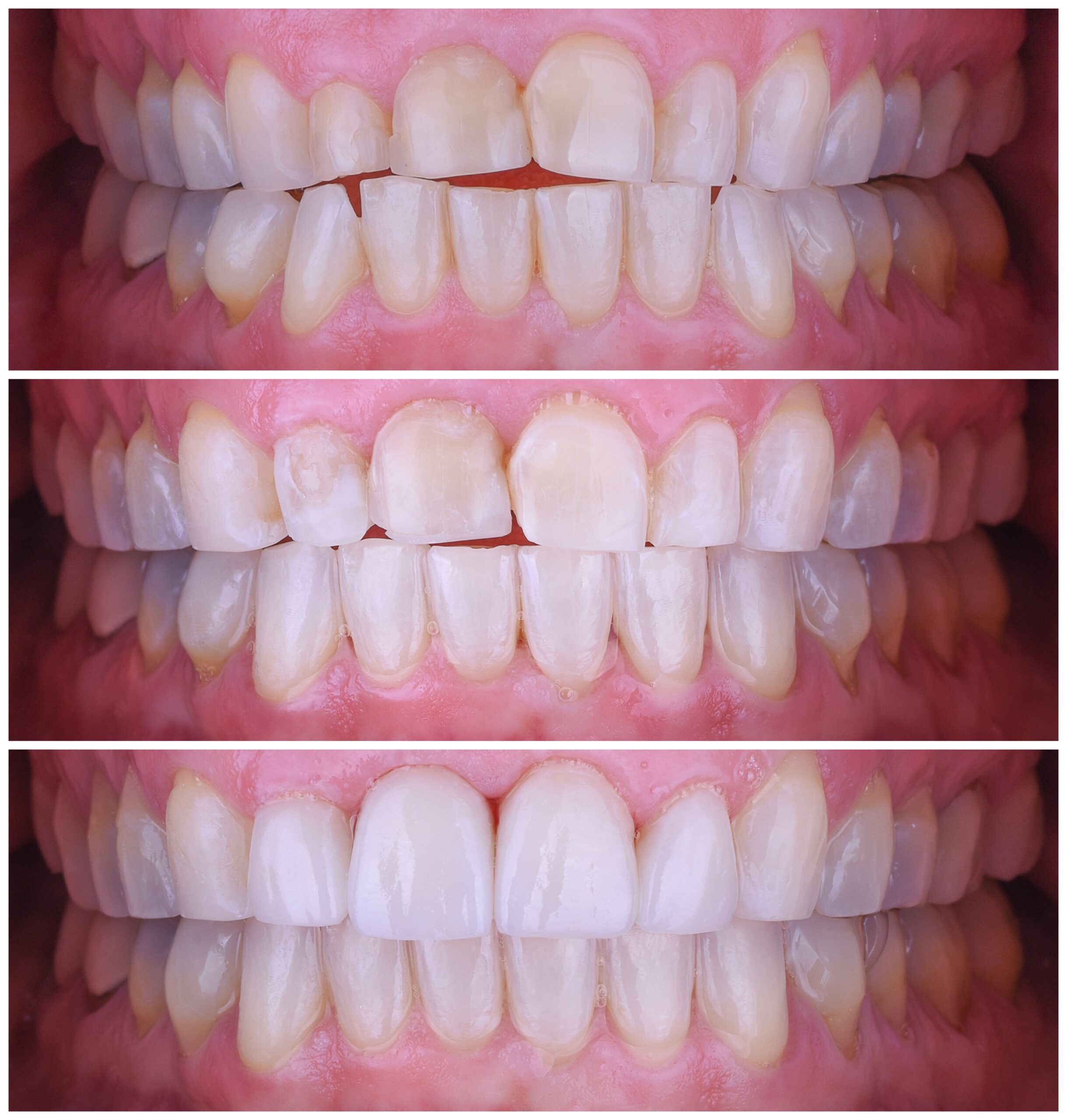
Antes & Después
Descubre las increíbles transformaciones de nuestros pacientes y da el primer paso hacia tu mejor sonrisa.
 
				 
				 
				 
				 
				 
				 
				 
				 
				 
				 
				 
				 
				 
				 
				 
				Preguntas Frecuentes
Sabemos que elegir un tratamiento de ortodoncia genera dudas, por eso hemos reunido las preguntas más comunes para ayudarte a tomar la mejor decisión. ¡Descubre todo lo que necesitas saber sobre nuestros tratamientos!

Datos de Contacto
Para más información o agendar tu consulta, contáctanos:
Envíanos un Mensaje
Queremos Escucharte

 
								
															 
								
															 
								
															 
								
															 
								
															 
								
															 
								
															 
								
															 
								
															 
								
															 
								
															 
								
															 
								
															 
								
															 
								
															 
								
															 Spanish
Spanish				 English
English